
当院のスタッフが9月3日からマウスピース矯正を始めました。

マウスピースをつけるとこんな感じ!

最初の1週間はアタッチメントが引っかかって大変でしたが、だんだん1〜2分でスムーズに着脱が出来るようになりました✨
食事はアライナー(マウスピース)を外して出来ます!

固いものを食べるときに少し痛みを感じることはありますが、普段は痛くないし、それ以外はほんとに快適です!

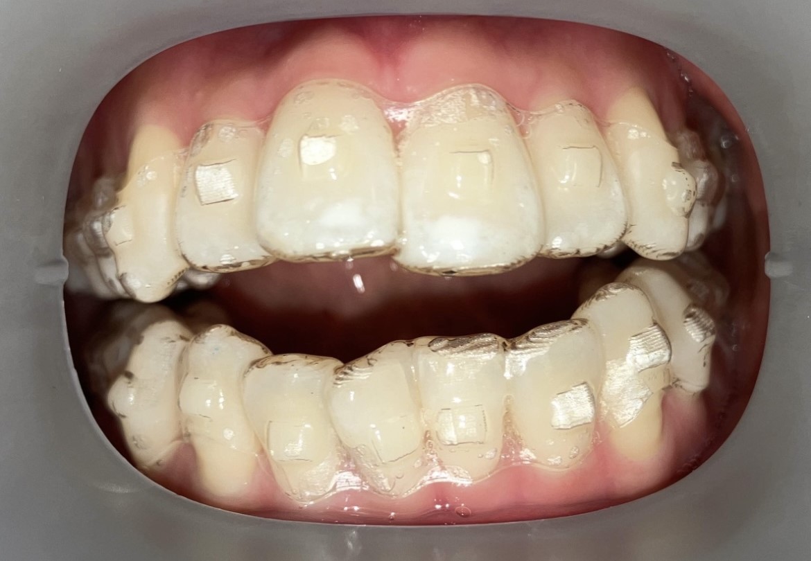
1ヶ月でここまで動きました!
前歯が少しずつ整ってきて嬉しい✨

DentalMonitoring
のアプリで常に歯の状態をチェックしています。
アプリを通して、矯正スタート時から今までの経過を確認できるので、自分の歯がどのくらい動いてきたのかを目で見て実感できるのが嬉しいポイントです✨
「少しずつ前歯が整ってきたな」とか、
「この1ヶ月で結構動いたかも!」と感じられると、
毎日のケアや装着のモチベーションにもつながります。
これからさらに変化していくのが楽しみです✨
今後の変化も報告していきます。
目立たない、痛くない、変化の実感が早い
マウスピース矯正、始めてみませんか?